技术服务

 根据客户科研需求,提供定制化的体细胞重编程等相关服务

人体细胞iPsc重编程建系 人体染细胞核型分析 hpsc畸胎瘤鉴定 hpsc-血管内皮细胞分化 细胞资源建立和共享

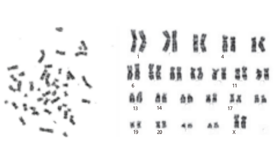
人体染细胞核型分析

3外周血重编程hipsc克隆形成阶段细胞形态图示。重编程建系上有着丰厚的经验和技术实力,每次重编程可获得上百个细胞克隆;如上图所一个视野下拥有10个hipsc克隆出现, 大量的克隆出现保证了重编程的高成功率。标尺 : 200μm。

咨询

项目 描述
样本类型 AIDs、syphylis、Hepatitis B、Hepatitis c感染检测
核型分析分辨率 细胞形态、细胞生长情况、细胞数量、细胞活率
分析结果 ssEA4 / TRA-1-81,流式检测

交付标准

提供核型分析实验报告,同时提供多套染色体自然分布图以及高清的G带分析图。
科研级hipsc细胞株(p10)核型分析,核型:46,XX;分辨率:400带。
结果解释:G显带,计数20个分裂相,核型分析5个,未发现染色体数目或结构异常。